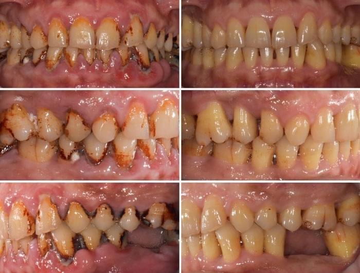
L'Approccio Salvadente racchiude le tecniche più efficaci ad oggi esistenti per riuscire finalmente ad avere una cura, affidabile e non invasiva, per la parodontite.
Sono decenni ormai che vengono ingiustamente estratti moltissimi denti naturali per via di questa malattia, ritenuta da sempre difficile da curare.
Per fortuna però la tecnologia fa passi da gigante anche nel settore dentale. Nel nostro studio ci siamo immediatamente dotati di tutte quelle nuove strumentazioni che rendono ad oggi la cura della parodontite POSSIBILE.
Attraverso una Disinfezione Profonda, indolore e non chirurgica, andremo ad eliminare i batteri che causano la malattia e che si sono accumulati nell'area in cui la gengiva incontra il dente, ovvero nella cosiddetta tasca parodontale.